Kết quả điều trị
Khám phá những hiểu biết mới nhất của chúng tôi
Truy cập Fanpage của chúng tôi để biết thêm các trường hợp điều trị thực tế được hoàn thành tại phòng khám của chúng tôi
https://facebook.com/budapestdentist

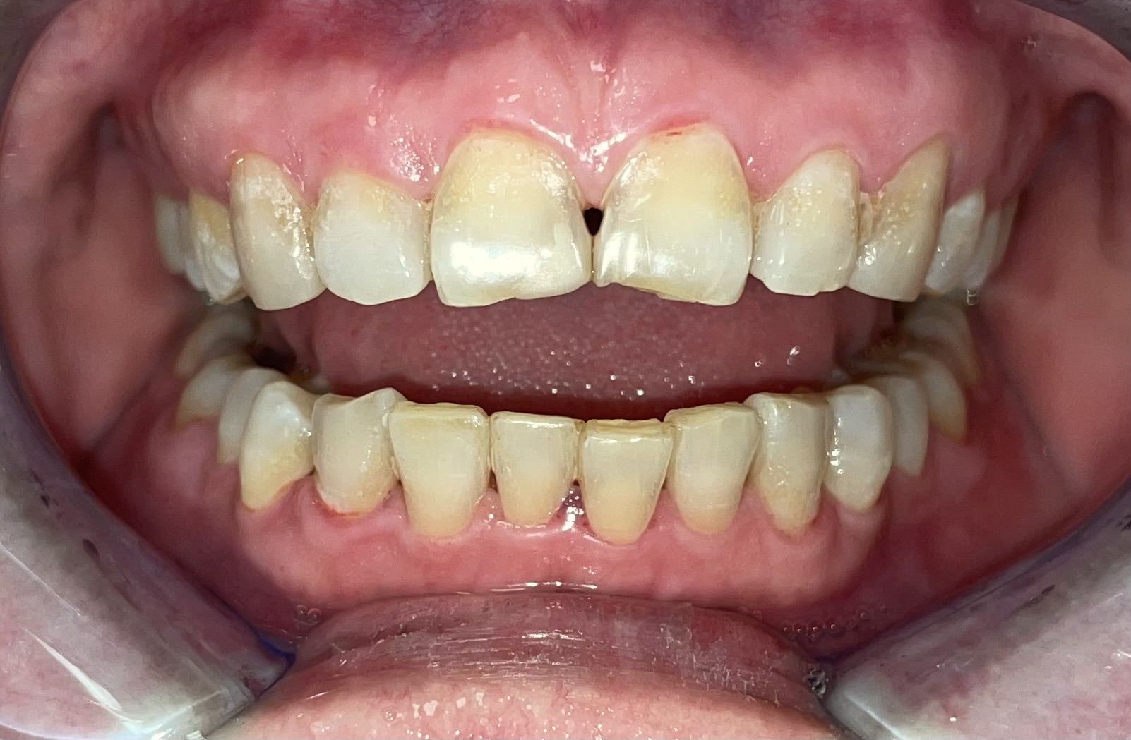
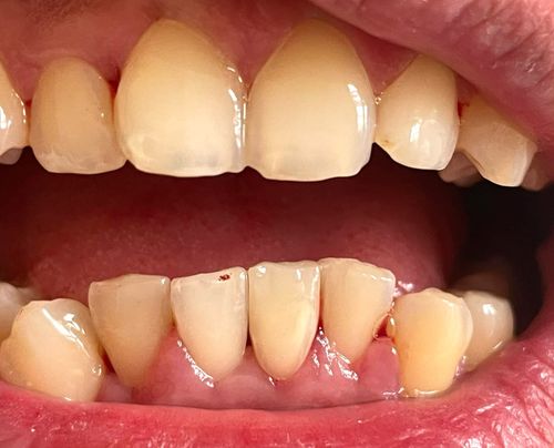
BEFORE: Full mouth dental crowns

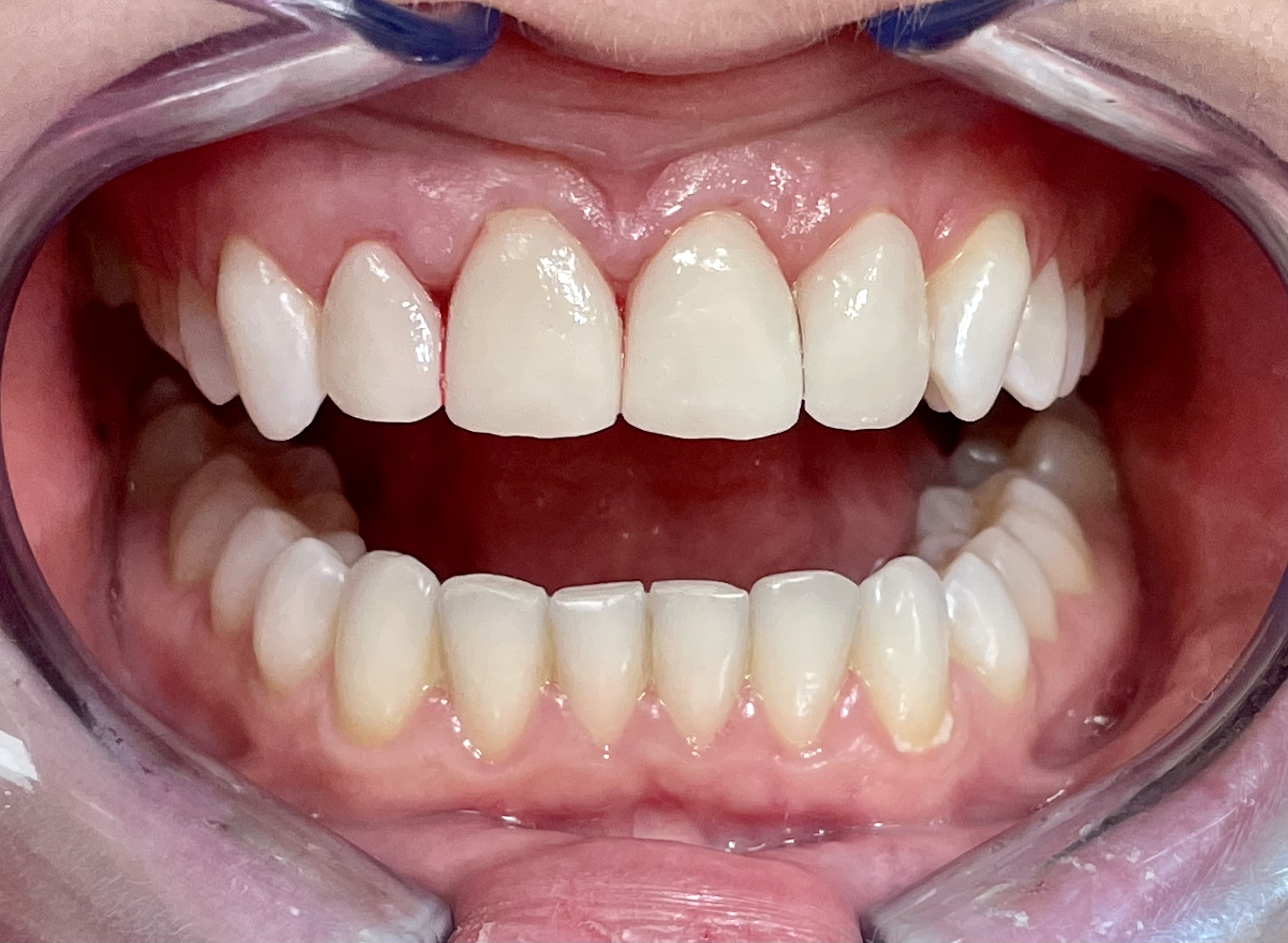
AFTER: Full mouth dental crown

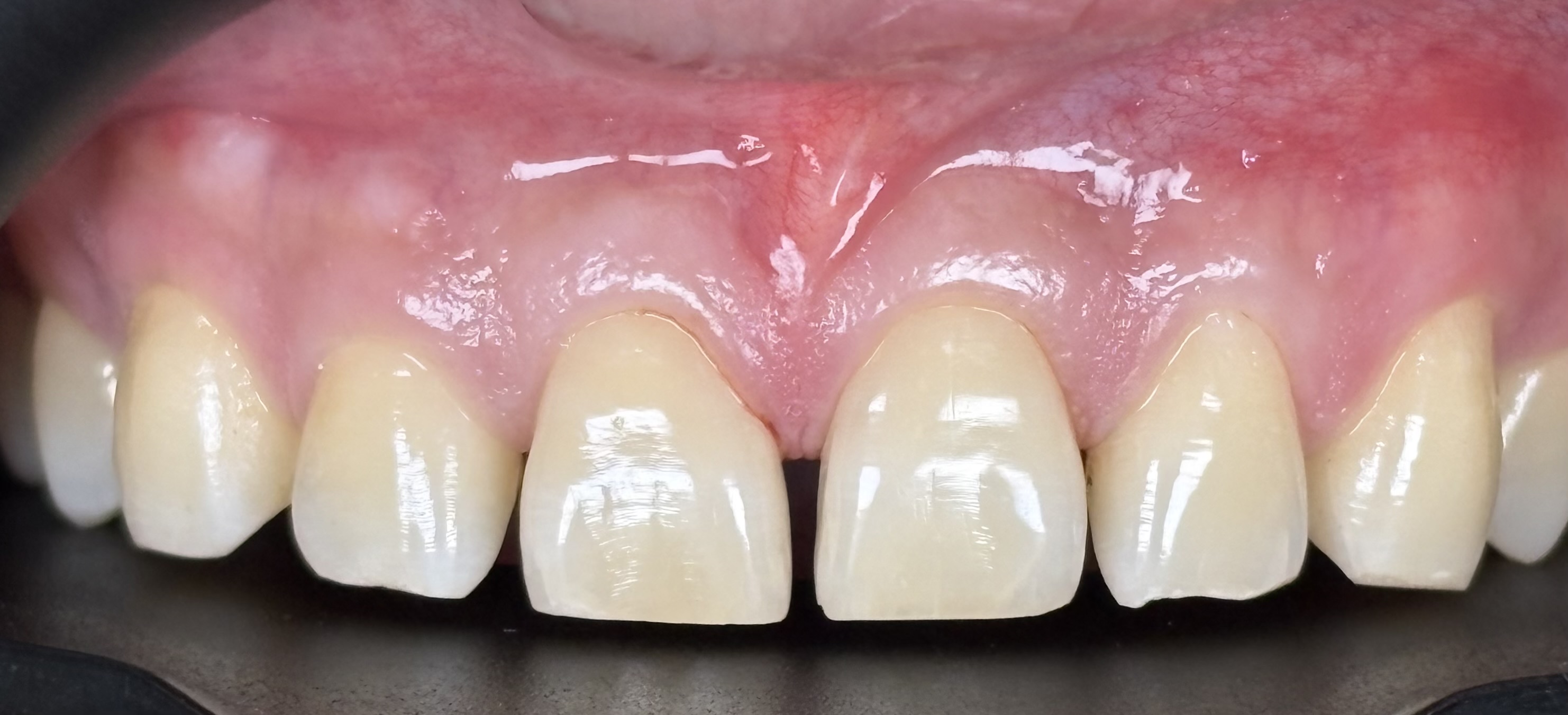
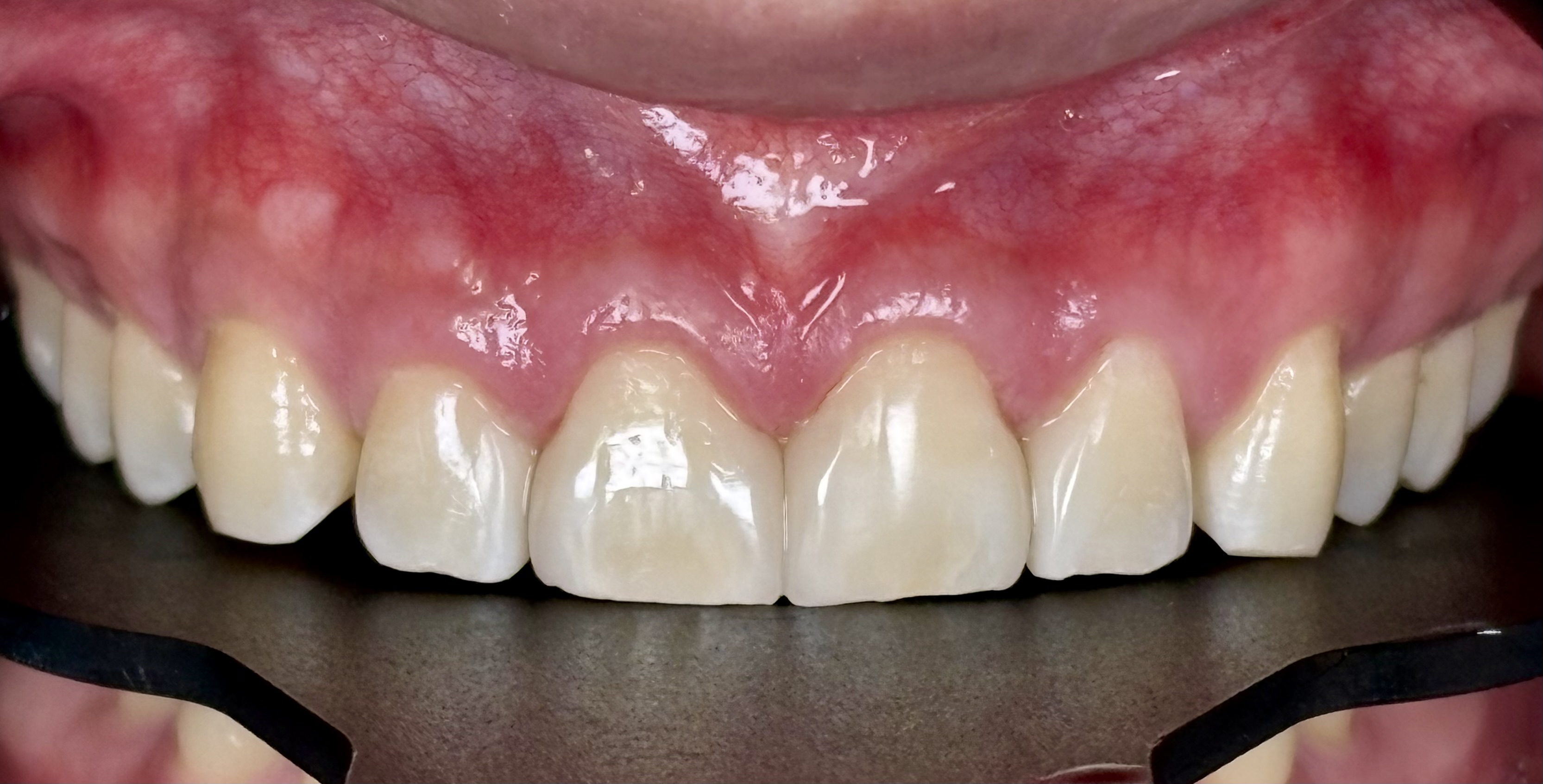
BEFORE: General spacing closing by esthetic composite fillings

AFTER: General spacing closing by esthetic composite fillings

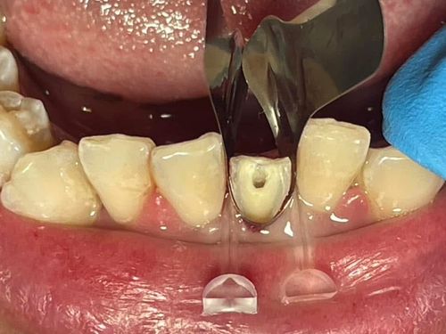
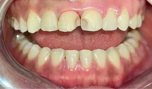
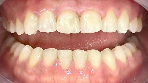
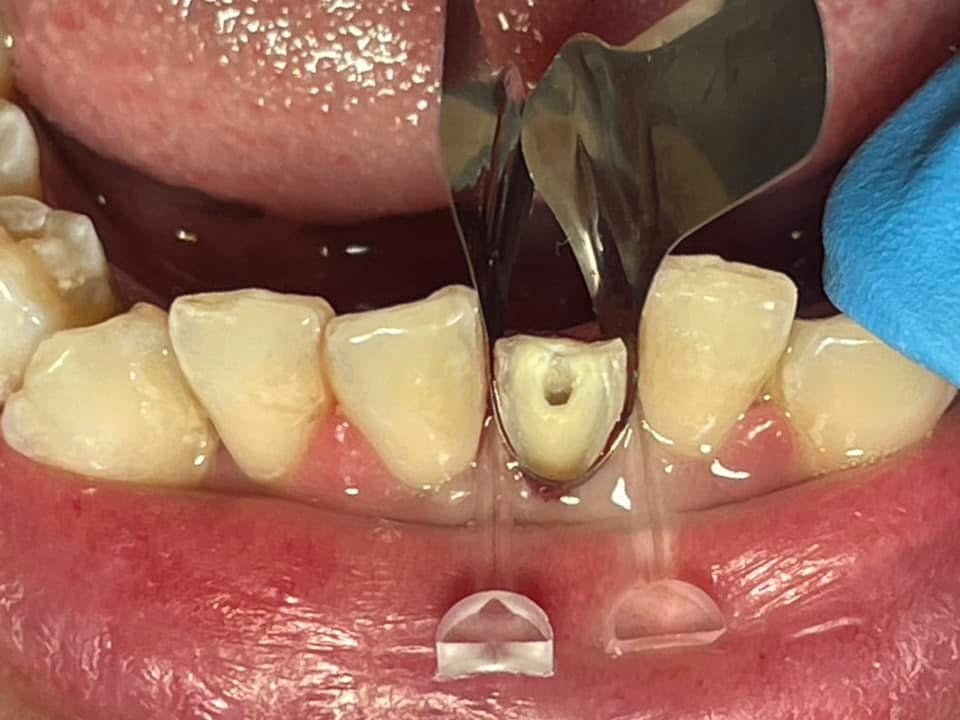
BEFORE: Broken tooth restoration with root canal treatment and esthetic composite build up in one day

AFTER: Broken tooth restoration with root canal treatment and esthetic composite build up in one day

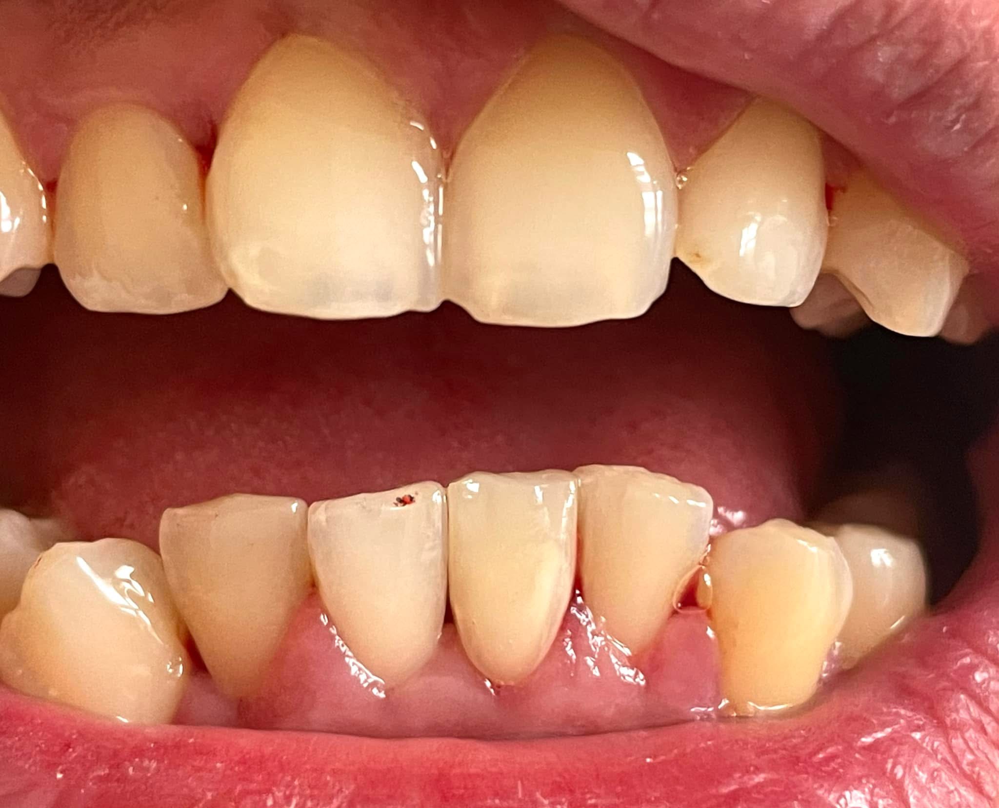
BEFORE: : Large tooth restoration with esthetic fillings

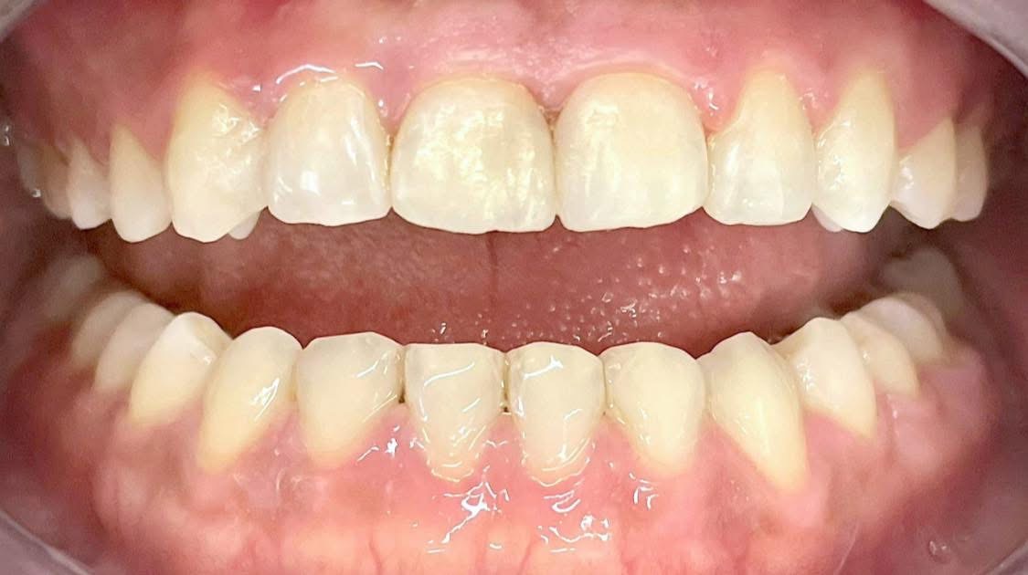
AFTER: : Large tooth restoration with esthetic fillings

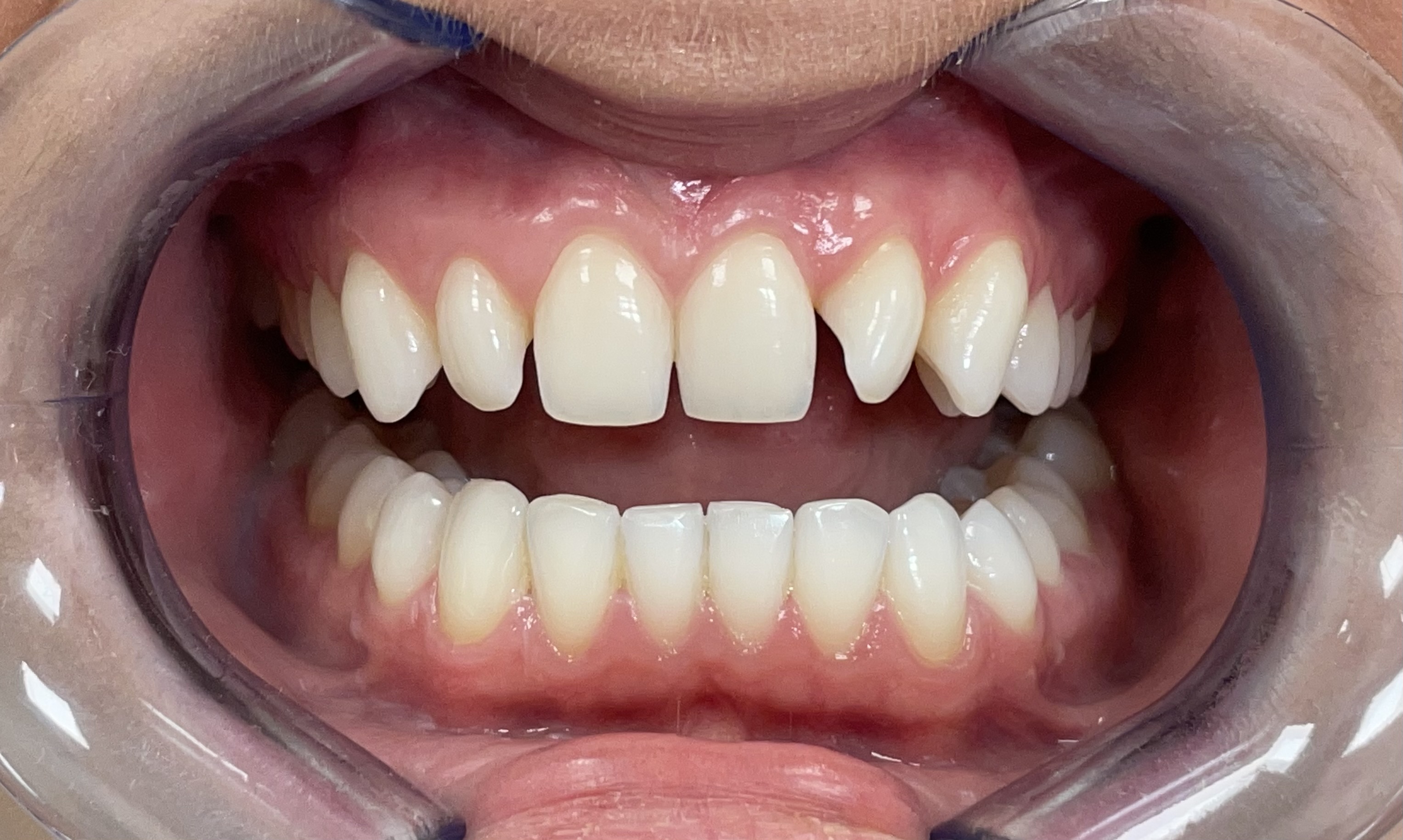
BEFORE: : 4 front tooth Emax veneers

AFTER: : 4 front tooth Emax veneers

BEFORE: Full mouth restoration for patient missing multiple teeth and a very challenging bite

AFTER: Full mouth restoration for patient missing multiple teeth and a very challenging bite